Behandlung bei Sarkoidose der Lunge in Saalfelden im Pinzgau

Die Sarkoidose ist eine granulomatöse Systemerkrankung unklarer Ätiologie und gehört ebenfalls zur Gruppe der interstitiellen Lungenerkrankungen (ILD).

Die Erkrankung weist ein weites Spektrum an klinischen Manifestationen auf und kann mit oder ohne Lungenbeteiligung sein. Wenn die Diagnose einer Sarkoidose gestellt wird, müssen somit auch andere Organsysteme auf das Vorliegen dieser Erkrankung untersucht werden.

Der Altersgipfel liegt zwischen dem 30. und 40. Lebensjahr, wobei typischerweise ein Epitheloidzellgranulom ohne zentrale Nekrose vorliegt. Die Prävalenz (Anteil der erkrankten Personen an der Gesamtpopulation) liegt bei etwa 40 pro 100.000 Einwohnern, wobei die Inzidenz (die Anzahl neuer Krankheitsfälle) circa 10 pro 100.000 Einwohnern beträgt.

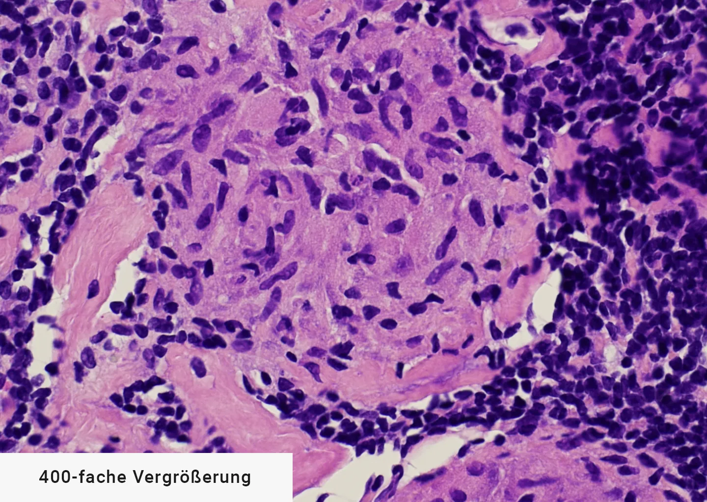
  • Vergrößerung Sarkoidose
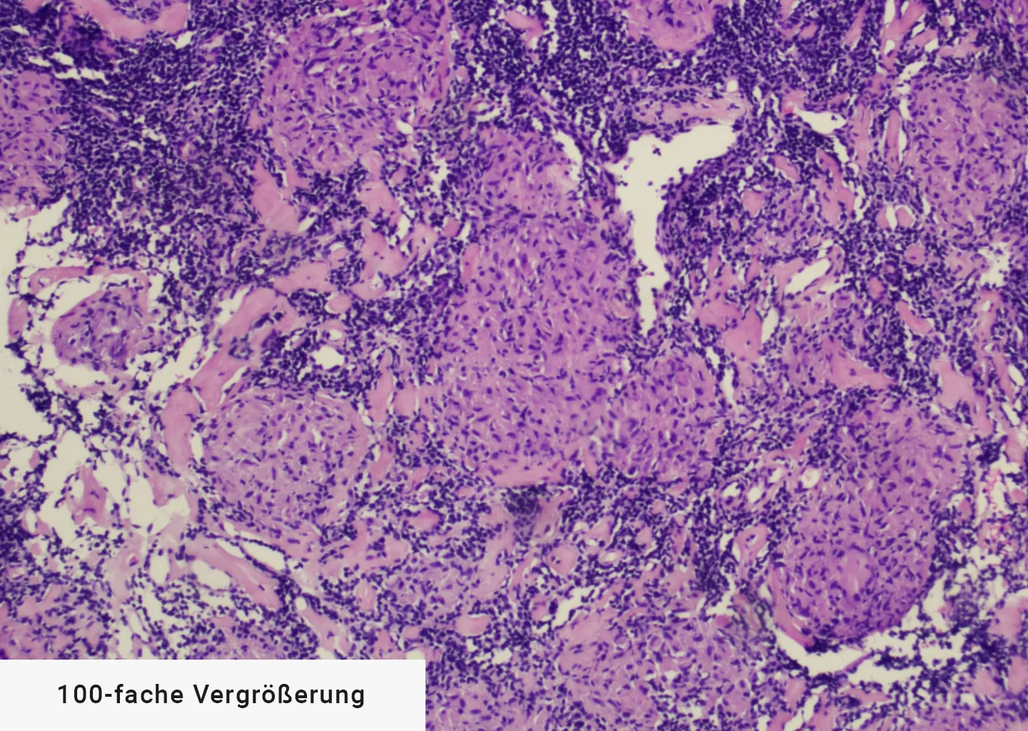
  • Vergrößerung Sarkoidose

Symptome bei Sarkoidose

Die Ursache ist nach wie vor unbekannt, wobei eine starke genetische Komponente angenommen wird (ebenfalls ist eine familiäre Häufung möglich).

Das Löfgren-Syndrom ist die hochakute Form der Sarkoidose mit den typischen Symptomen bestehend aus bihilärer Lymphadenopathie, Sprunggelenkarthritis und Erythema nodosum (entzündliche Erkrankung des Unterhautfettgewebes mit schmerzhaften Knoten insbesondere am Unterschenkel). Die akute Verlaufsform tritt gehäuft bei jungen Frauen auf.

Demgegenüber steht die chronische Verlaufsform, wo uncharakterische Allgemeinsymptome vorherschen (Müdigkeit ist hierbei ein sehr häufiges Symptom).

Die Diagnose setzt sich aus verschiedenen Befunden zusammen, wobei neben einem ausführlichen Gespräch über die Beschwerden die Durchführung einer Lungenfunktion inkl. Diffusionskapazitätsmessung notwendig ist. Komplementiert wird dies mit einer radiologischen Bildgebung (HRCT) und dem histologischen Gewinn einer Gewebeprobe im Rahmen einer Bronchoskopie (Lungenspiegelung): die endoskopische Punktion der mediastinalen Lymphknoten durch endobronchialen Ultraschall (EBUS) hat eine Sensitivität ("Trefferquote/Genauigkeit") von knapp 95 %.

 

Man sieht die klassischen Epitheloidzellgranulome, die bei Sarkoidose vorkommen: Es handelt sich im konkreten Fall um den mediastinalen Lymphknoten Nr. 7, welcher mit einem transbronchialen Kryobiopsat gewonnen wurde.

Behandlung von Sarkoidose

Bei extrathorakalen Manifestationen (Befall von Augen, ZNS, Herz, Nieren...) besteht eine absolute Indikation zur Therapie. Hierbei besteht die Standardtherapie aus einem oralen Kortikosteroid, welches über mehrere Monate (in Kombination mit einer Osteoporose-Prophylaxe) eingenommen werden muss. Demgegenüber gibt es auch andere, neuere Therapieansätze. Kommen Sie in unsere Praxis und wir beraten Sie gerne zu den medizinischen Möglichkeiten und suchen mit Ihnen nach der für Sie bestgeeigneten Therapie!

Eine Lungensarkoidose bedarf bei einem asymptomatischen Patienten ohne Beschwerden keiner Behandlung. Auch das akute Löfgren-Syndrom kommt meist mit NSAR (nicht steroidale Antirheumatika) und einer suffizienten Analgesie ohne Steroide aus. Wenn sich jedoch ein funktionsrelevanter Verlust in der Lungenfunktion zeigt, muss behandelt werden. Darum sind regelmäßige Verlaufskontrollen wichtig.

Termin vereinbaren