Diagnostik und Behandlung von Lungenfibrose in Saalfelden im Pinzgau

Die Lungenfibrose gehört zur Gruppe der interstitiellen Lungenerkrankungen (ILD), welche ein breites Spektrum an akut oder chronisch verlaufenden Krankheiten umfassen. Man unterscheidet innerhalb dieser heterogenen Krankheitsgruppe weit über 100 verschiedene Entitäten.

Die genauen Ursachen sind oft nicht eindeutig, aber sie können durch Umweltfaktoren, bestimmte Erkrankungen oder auch idiopathisch (ohne bekannte Ursache) entstehen.

IPF

Idiopathische Lungenfibrose
(IPF)

IPF

Diagnose der Lungenfibrose

Führendes Symptom ist die Luftnot bei Belastung, welche im Verlauf schon bei geringer Anstrengung auftritt. Begleitend wird oft ein trockener Husten angegeben.

Hinzu können wir eine Lungenfunktionsstörung mit Restriktion, sowie eine Diffusionsstörung gleich in unserer Praxis feststellen. Der klinische Befund des Knisterrasselns (auch Sklerophonie genannt) kommt in unterschiedlicher Häufigkeit bei den verschiedenen ILDs vor, fast immer bei der idiopathischen Lungenfibrose (IPF). Diese tritt typischerweise nach dem 50. Lebensjahr auf und nimmt in der Regel einen progredienten, therapierefraktären Verlauf mit einer Überlebenszeit von etwa 3 -5 Jahren nach Diagnosestellung. Vorwiegend sind Männer und Raucher betroffen.

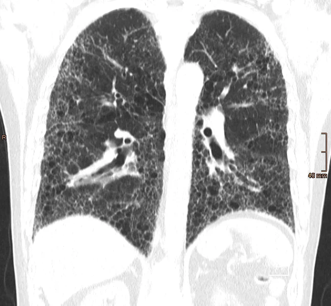
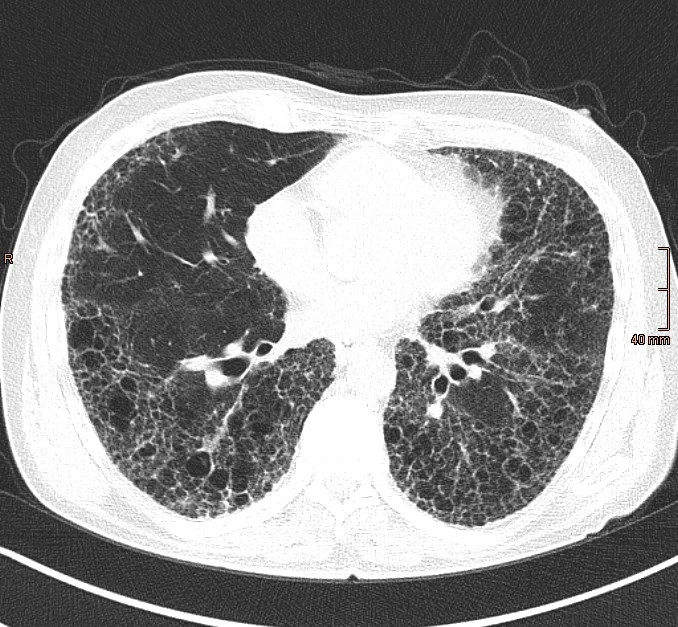
Der radiologischen Bildgebung mittels HRCT ist hierbei von zentraler Bedeutung. Es handelt sich hierbei um eine spezielle Form der Computertomographie (CT), bei der besonders hoch aufgelöste Bilder und dünne Schichten der Lunge erstellt werden. Als "Honeycombing" (Honigwabenmuster) wird hierbei ein fortgeschrittenes Stadium der Erkrankung beschrieben, bei dem das Lungengewebe durch Vernarbung so stark verändert ist, dass es einer Honigwabe ähnelt.

 

Man sieht hier das typische Bild einer IPF (idiopathischen Lungenfibrose) mittels HRCT und dem klassischen UIP-Muster: supleurale und basale Prädominaz, retikuläre Veränderungen, Honigwaben ("Honeycombing"), Traktionsbronchiektasen

Behandlung von Lungenfibrose

Die Behandlungsmöglichkeiten sind begrenzt, aber es gibt Medikamente, die das Fortschreiten der Erkrankung verlangsamen können, sowie Sauerstofftherapie und in manchen Fällen eine Lungentransplantation. Therapeutisches Ziel ist es, das Fortschreiten der Erkrankung aufzuhalten, die Überlebenszeit zu verlängern, akute Exazerbationen zu vermeiden und Symptome zu lindern.

In unserer Praxis beraten wir Sie umfassend zu den medizinischen Möglichkeiten und suchen mit Ihnen nach der für Sie bestgeeigneten Therapie.

Termin vereinbaren